Indian women and growing oral cancer cases: Why a non-healing mouth ulcer could be the earliest red flag

Have anything to say about this article?

You can report: fake news, misinformation, error, more information, additional data, etc.

Comment
Cancel
Your comment has been sent successfuly! Thank you.
The Times of India India 1h

Indian women and growing oral cancer cases: Why a non-healing mouth ulcer could be the earliest red flag

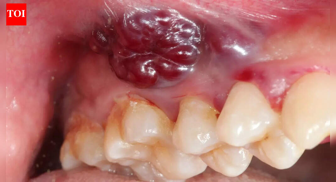
A mouth ulcer is usually seen as a small irritation that appears after accidentally biting the inside of your cheek or eating spicy food when the body is stressed. Most people expect it to heal on its own within a few days and rarely think twice about it. However, for an increasing number of Indian»»»

timesofindia.indiatimes.com
Have anything to say about this article?

You can report: fake news, misinformation, error, more information, additional data, etc.

Comment
Cancel
Your comment has been sent successfuly! Thank you.